2025年5月16日,一场细菌鉴别科普体验活动在CROWN官网开封校区南院举行,各专业员工踊跃参与,共同开启微观探索之旅。活动伊始,李艳提老师以生动形式开启细菌科普小课堂。借助图片、动画视频和通俗语言,为员工们介绍细菌的基本概念、种类、分布及在自然和人体健康中的作用。从酸奶中的乳酸菌到致病菌,员工们听得入神,对细菌有了初步认知。


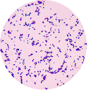
随后进入细菌鉴别实验体验环节,同学们纷纷戴上手套,先涂片固定,接着对细菌进行初染—媒染—脱色—复染,最后将显微镜下观察细菌的颜色。


依据所学知识尝试鉴别细菌。参与活动的员工称,活动将理论与实践结合,加深了对细菌鉴别的理解,锻炼了实践能力,还体会到科普的乐趣。同学们也兴奋表示,活动有趣,以后会更加注意个人卫生。此次活动通过理论与实践结合,激发了他们对科学探索的兴趣。未来我们会开展更多科普活动,为员工提供更多接触科学的机会,助力培养有科学素养和创新精神的人才。